
Reprise de prothèse totale du genou
La reprise de prothèse totale du genou
11
Introduction
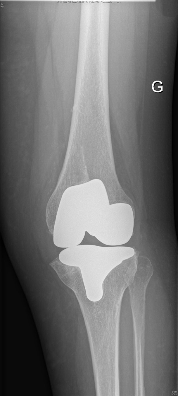
La prothèse totale du genou est une entité complexe constituée de quatre éléments qui s'articulent ensemble lors des mouvements de flexion et d'extension de votre genou. Ces éléments sont :
L’implant fémoral
L’implant tibial
Le polyéthylène intermédiaire
L’implant rotulien
La stabilité de la prothèse est assurée par un complexe capsulo-ligamentaire qui entoure le genou et qui a été préservé lors de la première intervention.
Avec le temps, on peut voir apparaître un descellement mécanique de la prothèse, il s'agit d'une interface entre l'os et le composant prothétique qui va aboutir à une mobilité anormale de la prothèse par rapport à l'os. Les origines de ce descellement sont nombreuses, on peut citer par exemple l'usure naturelle de la prothèse, la malposition initiale des implants lors de la première intervention ou encore l'infection chronique de la prothèse.
Le descellement est un phénomène évolutif dans le temps, les micro-mouvements de la prothèse par rapport à l'os vont progressivement provoquer une destruction osseuse au contact de la prothèse.
Cliniquement le descellement de la prothèse est responsable de l'apparition de douleurs d'intensité croissante, d'une impotence fonctionnelle majeure et d'une raideur articulaire. Ces phénomènes mènent inévitablement à une boiterie et une perte progressive d’autonomie.
Modalités
L'indication d'une reprise de prothèse totale de genou est une indication de lourde, un bilan clinique et radiographique complet doit être réalisé en préopératoire.
Un bilan biologique parfois associé à une scintigraphie est souvent nécessaire pour éliminer un processus infectieux évolutif.
Par ailleurs, l'ensemble de vos antécédents médicaux et chirurgicaux sera minutieusement examiné, un bilan cardiologique et dentaire vous sera prescrit si besoin.
La planification préopératoire est une étape fondamentale au bon déroulement de votre intervention. Elle consiste à localiser précisément les zones de perte de substance osseuse, de dépister une laxité ligamentaire et de choisir les bons implants de reprise.
Une hospitalisation d'une semaine dans le service est à prévoir, la convalescence et la rééducation sont réalisées en centre de rééducation pendant 6 à 12 semaines.
L'intervention est réalisée sous anesthésie générale et dure entre deux et quatre heures en fonction de la complexité de la reprise.
Il est difficile de résumer ici les grands principes de reprise chirurgicale de prothèse totale de genou, tant les gestes diffèrent entre les patients. Néanmoins, on peut résumer les grandes étapes fondamentales ici dans le cas de descellement non sceptique
reprise de la voie d'abord ou utilisation d'une voie d'abord à risque cutané moindre
bilan articulaire, et évaluation des pertes de substance osseuse et testing des implants
ablation des implants fémoral, tibial, et rotulien
synovectomie large et prélèvements bactériologiques de principe
regroupes osseuses fémorale, tibiale et rotulienne
reconstruction osseuse avec utilisation de greffons osseux si nécessaires ou de cales métalliques
positionnement d'une nouvelle prothèse de reconstruction contrainte.
Dans le cas d'un descellement sceptique, la prise en charge différente, elle est réalisée en deux temps après réunion de concertation pluridisciplinaire médico-chirurgicale.
lors du premier temps dépose de la prothèse et mise en place d'un spacer aux antibiotiques et antibiothérapie adaptée au germe identifié
puis mis en place de la nouvelle prothèse six semaines plus tard.
Les suites
Elles sont plus longues qu’une prothèse de première intention. Les soins de pansement sont réalisés tous les deux jours jusqu'à cicatrisation complète.
L’appui est en général partiel pour les 4 premières semaines opératoires, pour cela une héparinothérapie préventive du risque thromboembolique est mise en place.
Une kinésithérapie de rééducation musculaire est en général débutée précocement afin d’obtenir un bon verrouillage du genou. Par ailleurs une récupération des mobilités articulaires est réalisée sur arthromoteur principalement.
Le lever avec mise au fauteuil est autorisé immédiatement en respectant la décharge partielle du membre.
La remise en charge est réalisée ensuite de façon douce et progressive sur 1 mois en centre de rééducation avec l’aide de deux cannes béquilles. Le renforcement des muscles quadricipitaux et la récupération des mobilités articulaires se poursuivent.
La rééducation dure en général 3 mois et nécessite votre entière participation pour obtenir de bons résultats cliniques.
En général la reprise de la conduite automobile se fait entre 6 semaines et 3 mois.
Les objectifs
Obtenir un genou stable et non douloureux, sans boiterie à 6 mois. Il se peut que des douleurs légères et une petite raideur du genou persistent, néanmoins elles n’empêchent pas la reprise des activités de la vie quotidienne et les activités sportives adaptées (marche, natation, vélo par exemple).
Les complications
Les complications sont les mêmes que lors d’une arthroplastie totale de genou de première intention, avec des risques anesthésiques plus importants du fait de la durée d’intervention plus longue, d’un risque hémorragique non négligeable.
On cite par ailleurs :
L’hématome : il s’agit d’une complication fréquente et bénigne, qui disparaît spontanément en quelques semaines. Dans certains cas, il peut nécessiter un drainage chirurgical.
La désunion cicatricielle : il s’agit d’une complication qui nécessite une prise en charge chirurgicale sans délai. Pour cela une surveillance minutieuse est réalisée avec l’aide des infirmières. Dans certains cas, le recours à des techniques de chirurgie plastique de couverture de la prothèse sont nécessaires (lambeaux)
La raideur articulaire qui peut nécessiter une mobilisation du genou sous anesthésie générale
Les complications thromboemboliques : phlébite et embolie pulmonaire
L’infection de la prothèse, qui peut apparaître rapidement après l’intervention ou plus tardivement par contamination hématogène (germes bucco-dentaires, infection digestive, urinaire, pulmonaire). Dans ce cas, une prise en charge adaptée et pluridisciplinaire sera proposée, avec lavage chirurgical et mise en place d’une antibiothérapie adaptée et prolongée. Dans le cas des infections chroniques, le changement de la prothèse est nécessaire.
Une fracture notamment au niveau de la tubérosité tibiale antérieure, qui nécessite une nouvelle synthèse pour conserver le verrouillage actif du genou.
En bref
Hospitalisation7 jours
Durée rééducation6 semaines à 3 mois
Arrêt de travail3 mois
Reprise du sport3 mois
Fiche(s) technique(s)
Fiche technique 1


